Know Your Teeth
- Milk Teeth
- Permanent Teeth
- Internal Structure of Teeth
- What is Decay?
- Brushing, Flossing and Mouthwashes
Milk Teeth

The milk teeth are 20 in number: 2 incisors, 1 canine and 2 molars in each half of each jaw.
Permanent Teeth

The permanent teeth are 32 in number: 2 incisors, 1 canine, 2 premolars, and 3 molars in each half of each jaw.
Internal Structure of Teeth

Each tooth has a crown that projects above the gum margin and a root that is embedded in bone beneath the gum. Structurally, each tooth is composed of the pulp in the centre; the dentine surrounding the pulp and the enamel which covers the crown of the tooth.
The pulp is a loose tissue containing nerves and blood vessels. It is responsible for the "life" in the tooth. All sensations whether of pain, hot or cold are all due to pulp.
The dentine is a calcified material containing spiral tubules that radiate from the pulp. The outer most layer is of enamel which is the hardest substance in the body.
What is Decay?

Most people are amazed to learn that cavities start as microscopic pits. They result from an acidic imbalance in the normal chemistry around the enamel layer of a tooth. When the tooth is attacked by acid (usually produced by germs that live in the mouth) the surface layer dissolves. Gradually the tiny pit grows larger and larger until it finally reaches the soft inner part of the tooth called dentin.
This dissolving process can take many years, or sometimes may seem to happen almost overnight.
Sometimes very small cavities are very sensitive, and some very large cavities are not at all. In either case, when the germs causing the cavity reach the far inside of the tooth (commonly called the ‘nerve’ or ‘pulp’), then an infection sets in which can spread to the jaw, or the face.
Most people prefer to fix smaller cavities early before they hurt or spread. Most people that do this keep their teeth longer with fewer problems than people who like to “wait until it hurts”.
Brushing, Flossing and Mouthwashes
Toothbrushes vary in size and design, as well as in length, hardness and arrangement of bristles. The type of brush is purely a matter of individual preference but the following points must be considered:
- It should be able to reach and efficiently clean most areas of the mouth.
- Easy to use
- Patient's perception that the brush works well.
Another point of controversy is the hardness of the bristles. Use of hard-bristle brush is linked enamel wear. But the fact is that it is the manner in which the brush is used and the abrasiveness of the toothpaste that affects enamel abrasion to a greater degree than the bristle hardness itself.
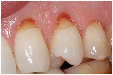
Overzealous brushing can lead to gum recession, painful ulceration of gingiva and triangular-shaped defects in the neck area of the tooth.

Enamel wear at the neck of the teeth due to faulty brushing technique
To maintain the cleaning effectiveness, toothbrushes must be changed as soon as bristles begin to fray. Generally with regular use, brushes wear in about 3 months time. If all the bristles are flattened after 1 week of use, probably the brushing is too aggressive; if the bristles are straight even after 6 months of use then either the brush is not regularly used or brushing is very gentle.
The recommended brush for most people should have a short-head with round-ended, soft to medium nylon bristles arranged in 3 to 4 rows of tufts are recommended.
Powered toothbrushes are recommended for
- Small children, handicapped or hospitalized patients who need to have their teeth cleaned by someone else
- Individuals lacking fine motor skills
- Patients with orthodontic appliances
- Although anybody who prefers them can use it.
Best results are obtained when the operator is instructed in its proper use. It can be valuable replacement for manual brush if used properly and regularly.
However, when tooth cleaning ability is compared it offers no superiority over manual toothbrushes
Toothpaste aid in cleaning and polishing teeth. They contain abrasives such as silicon oxide and aluminium oxide; water; humectants; detergent; flavouring and sweetening agents; therapeutic agents as fluorides; and colouring agents and preservatives.
Use of a particular brand is purely a matter of personal preference.
If the efficiency is good i.e. it removes all deposited plaque, brushing once a day is sufficient. However, if the efficiency is less than optimum, a second brushing will help.

Place the bristles at the gum margin, establishing an angle of 45 degrees to the long axis of the teeth. Exert gentle vibratory pressure, using short back-and-forth motions without dislodging the tip of the bristles. Complete approximately 20 strokes in the same position.
Continue around the arch, brushing around three teeth at a time, and then use the same method to brush the inner surfaces of the teeth. To help reach the inner surfaces of the front teeth, insert the brush vertically.
Press the bristles firmly into the chewing surfaces of the teeth and brush with about 20 back-and-forth strokes.

Flossing removes plaque from in between tooth surfaces. Again the use of a particular brand is based on ease of use and personal preference.
The use of tooth brushing and dental floss will loosen many particles of food and tooth plaque bacteria. These can be removed by vigorous rinsing with water. Repeated rinsing also results in a rapid lowering of sugar level in saliva.
It is therefore recommended, that following ingestion of sugar rich snacks, one should rinse one's mouths vigorously two or three times with as much water as can be adequately held in the mouth. It is especially important to do this if it is impractical to brush the teeth at such a time.
Bad breath (also called as Halitosis) is caused primarily by volatile sulphur compounds, specifically hydrogen sulphide and methyl mercaptan, which result from degradation of sulphur containing proteins.
The foul smell may have its origin within the mouth or might be caused by certain extra oral factors. Contributing factors within the mouth include retention of odoriferous food particles on and between the teeth and or tongue, artificial dentures, smoker's breath and healing surgical or extraction wounds. Any disease of gums or tooth decay may also cause an unpleasant mouth odour from accumulated debris.
Extra oral sources of mouth include infections of the respiratory tract (bronchitis, pneumonia etc.) and odours secreted in breath from aromatic substances in bloodstream (alcoholic breath, odour of diabetes and uremic breath that accompanies kidney dysfunction.